1. CRISPR 技术
1.1 基因敲除细胞稳转株
本产品采用CRISPR基因编辑技术制备,可通过引入单条或双条向导RNA(gRNA)靶向目标基因组区域,
并诱导产生DNA双链断裂。细胞在修复该断裂时通常发生移码突变或基因片段缺失,从而高效实现靶基因的功能性失活。
1.2 基因敲入
本产品基于CRISPR基因编辑技术构建,通过向转导细胞递送靶向性gRNA/Cas9 RNP复合物,
并结合可同源重组(HDR)修复机制导入的供体载体,实现位点特异性基因敲入编辑。
依托独特的递送与优化技术,我们能够在较短时间内实现高效、高HDR率的基因递送,
并以较高的成功率获得敲入纯合子细胞株。
2. ipsc重编程
钧慧未来拥有先进的体细胞重编程平台,可基于血液来源的体细胞样本,高效制备高质量的人诱导多能干细胞,
诱导成功率高达99%。
该平台采用非整合型附加体质粒重编程体系,避免基因组整合风险,确保细胞遗传背景纯净,适用于下游各类研究。
同时,其标准化操作流程可兼容多种培养体系,支持高品质iPSC的大规模、标准化生产。
客户案例展示:

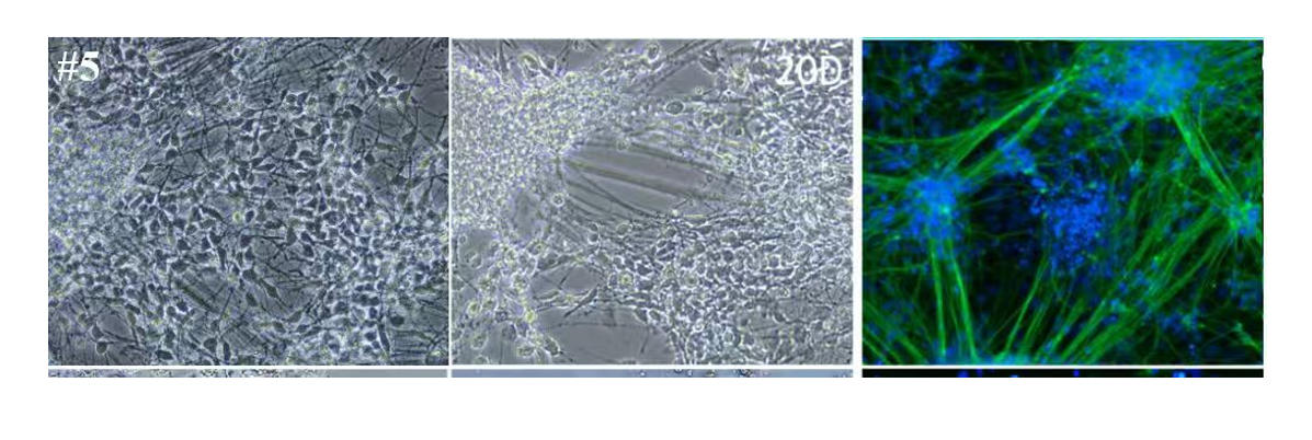
3. 体外神经元分化
钧慧未来可在实验室条件下,将多能干细胞(如胚胎干细胞ESC或诱导多能干细胞iPSC)或体细胞(通过直接重编程)
定向诱导、分化为具有特定类型和功能的神经元。
客户案例展示:
